1. Смотрим на расположение рядом с ядром
Комплекс Гольджи обычно находится рядом с ядром клетки и эндоплазматической сетью (ЭПС).
2. Дальше обращаем внимание на форму и структуру
Комплекс Гольджи выглядит как стопка уплощённых мембранных мешков (цистерн).
Стопка уплощённых цистерн — это диктиосома! Часто напоминает кучу блинов или полоски.
Также у комплекса Гольджи есть сеть трубочек (каналов).
3. Можно найти полярность
У комплекса Гольджи есть две стороны:
Цис-сторона (ближе к ЭПС и ядру) — принимает пузырьки от ЭПС.
Транс-сторона (ближе к плазматической мембране) — образует пузырьки для экзоцитоза.
4. Мы можем увидеть пузырьки рядом с комплексом Гольджи
Вокруг комплекса часто видны маленькие пузырьки, отходящие от его мембраны — часто это лизосомы или пузырьки с веществами на экспорт (транспорт из клетки).
5. При электронной микроскопии смотрим на контраст
На ЭМ-снимках цистерны выглядят как тёмные, параллельные, плотные структуры, а пузырьки — мелкие круглые светлые образования рядом.
6. Не спутайте комплекс Гольджи с:
ЭПС — она более ветвистая и с рибосомами (шероховатая ЭПС).
Митохондриями — овальные, с внутренними складками (кристами).

Рисунок А:
Пузырьки, которые отделяются от комплекса Гольджи
Цистерны диктиосомы
Под Б — крупный пузырёк, который образовался в комплексе Гольджи для экзоцитоза
Рисунок Б:
3) Каналы аппарата Гольджи
4) Развивающийся пузырёк

Рисунок:
Пузырьки
Трубочки (каналы) комплекса Гольджи
Цистерны

Цветная схема:
Пузырёк, который отделился от ЭПС и несёт вещества к комплексу Гольджи
Цистерны
Формирование мембранных пузырьков
Транс-полюс
Отделение мембранных пузырьков от комплекса Гольджи
Цис-полюс

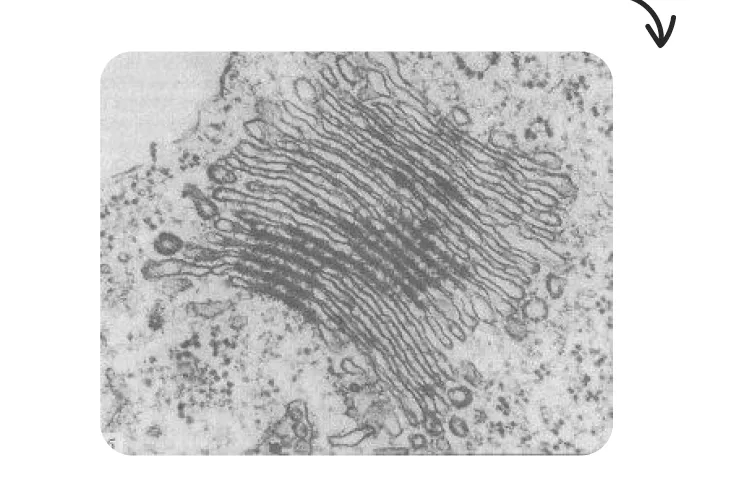
Электронная микрофотография:
На электронной микрофотографии видим стопку тёмных «блинчиков», отходящие пузырьки.
Делаем вывод, что это комплекс Гольджи!
Авторизуйтесь, чтобы оставить комментарий.